Pesquisadores esperam que o poder do scanner também lance luz sobre os mecanismos ocultos por trás de doenças neurodegenerativas
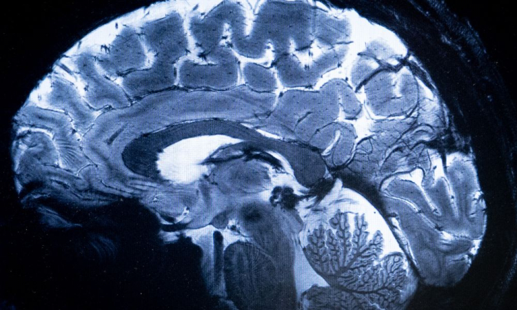
O scanner de ressonância magnética (IRM) mais potente do mundo conseguiu escanear o cérebro com um nível de precisão jamais visto, uma proeza que pode ser decisiva para detectar doenças. “Vimos um nível de precisão nunca antes alcançado no CEA”, disse Alexandre Vignaud, um físico que trabalha no projeto. Pesquisadores da Comissão de Energia Atômica (CEA) francesa utilizaram pela primeira vez a máquina para escanear uma abóbora em 2021. Recentemente, as autoridades sanitárias deram sinal verde para escanear humanos, e cerca de 20 voluntários saudáveis se ofereceram para que seus cérebros fossem escaneados em Saclay, subúrbio ao sul de Paris.
O campo magnético criado pelo scanner é de 11,7 teslas, uma unidade de medida nomeada em homenagem ao inventor Nikola Tesla. Essa potência permite que a máquina escaneie imagens 10 vezes mais precisas que os IRM normalmente utilizados em hospitais, cuja potência geralmente não supera os três teslas. “Com essa máquina podemos ver os pequenos vasos que alimentam o córtex cerebral, ou detalhes do cérebro que eram quase invisíveis até agora”, disse.
O produto é o resultado de duas décadas de pesquisa de uma parceria entre engenheiros franceses e alemães. Os Estados Unidos e a Coreia do Sul estão trabalhando em máquinas IRM igualmente potentes, mas ainda não começaram a escanear imagens de humanos. Um dos principais objetivos é multiplicar nossa compreensão da anatomia do cérebro e quais áreas são ativadas quando se realiza tarefas particulares.
Os pesquisadores esperam que o poder do scanner também lance luz sobre os mecanismos ocultos por trás de doenças neurodegenerativas, como Parkinson ou Alzheimer, ou problemas psicológicos, como depressão ou esquizofrenia. “Por exemplo, sabemos que uma área específica do cérebro, o hipocampo, está envolvida na doença de Alzheimer, por isso esperamos poder descobrir como as células dessa parte do córtex cerebral funcionam”, disse a pesquisadora do CEA Anne-Isabelle Etienvre. Os cientistas também esperam mapear como certos medicamentos usados para tratar o transtorno bipolar, como o lítio, são distribuídos pelo cérebro.
*Com informações da AFP
-jovemPan